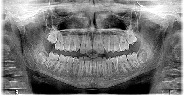
Je jenom několik málo míst, kde byste měli zajít s tím, že se o vás postarají skuteční profesionálové. Ostatně právě taková péče o zuby, a vůbec všechno to vyšetřování kolem, je koneckonců důležitá věc, hlavně pokud se budeme bavit o něčem, co má předcházet důležitým zákrokům, které mohou člověka ovlivnit na celý život. Je proto nesmírně důležité, aby odborníci měli špičkové vybavení, se kterým mohou bezstarostně plnit své úkoly. Něčím takovým je bezesporu zubní rentgen Liberec http://www.2kdent.cz/technologie/vistascan. Jedná se o zařízení, které je co možná nejnutnější pro jakákoliv vyšetření.
Každý odborník by proto měl mít nejen vůli, ale zejména také přístup ke špičkové technice, ta je ostatně ze všeho nejdůležitější. Je nutné, aby každý odborník vyšetřoval pacienty pouze s tou nejlepší technikou, třeba jako je právě zubní rentgen Liberec, protože přeci jen – i u nás ve zdravotnictví je zákazník pánem. Proč by si proto nevybral jiného zubaře, když by věděl, že ho vyšetří daleko lépe? A byť je zubařů jako šafránu, člověk nikdy neví, kdy se může situace otočit. Už jen proto by měli být odborníci připraveni okamžitě reagovat a mít po ruce to nejkvalitnější zařízení, které je možné na českém trhu dostat. Samozřejmě, u nás najdete, kromě zubního rentgenu Liberec, také mnoho dalších pomůcek, zařízení, přístrojů, které vám pomohou posunout se na ještě vyšší odbornou úroveň. Protože nářadí dělá mistra, i tady to platí. A zejména dneska, v době moderní techniky, která jde neustále dopředu. Je nutné využívat nových postupů, technologií i materiálů, aby byly služby poskytované odborníky co možná nejlepší.
Zubní rentgen Liberec je proto ideální volba pro všechny, kteří nejen chtějí držet krok, chtějí ale také, aby vynikly jejich schopnosti a zručnost, kterou oplývají. Zařízení, které umožní pacientovi všechen komfort a zároveň poskytnou odborníkovi tolik kýžené informace o pacientovo zdraví či stavu jeho chrupu.